Adenom de prostată
Prostatic Adenoma

(B.S., m., 67 ani / years old)
Chronic renal failure patient with peritoneal dialysis, registered for acute urine retention, for which a uretrovesicale catheter was instaled (3000 ml). 
It's observed masive oedema of right abdominal wall, because of the infiltration with peritoneal dialysis fluid.
Purtător de patru ani al unui dispozitiv de dializă peritoneală pentru insuficiență renală cronică, face un glob vezical (3000 ml) pentru care se instalează o sondă de drenaj uretrovezical. 
De remarcat edemul masiv al peretelui abdominal drept, urmare a infiltrației cu lichidul de dializă peritoneală.
Computerized Tomography (I): vesical globe.
Tomografie computerizată (I): glob vezical.
.
Computerized Tomography (II): enorme dilatation of the pielouretheral segments.
Tomografie computerizată (II): Dilatație enormă a segmentelor pieloureterale.
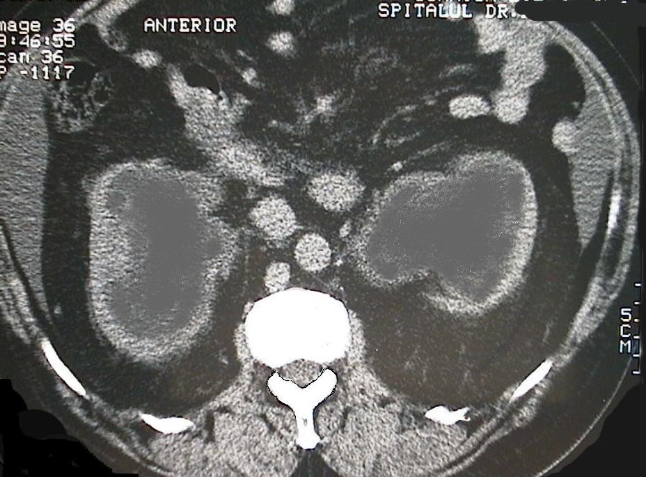
Computerized Tomography (III): masive bilateral hydronephrosis which compresses renal cortex.
Tomografie computerizată (III): hidronefroză masivă bilaterală cu compresiunea corticalei renale.
Operatory Specimen (transvesical adenomecthomy): voluminous, bilobate periurethral adenoma. 
Below image: transection of adenoma lobe.
Piesa operatorie (adenomectomie transvezicală): adenom periuretral voluminos, bilobat. 
În imaginea de jos: secțiunea unui lob al adenomului.

<< Hosted by Medical Students Network